
resonancia de un caso de gliomatosis cerebri con varios tumores
La gliomatosis cerebri es una infiltración extensiva y difusa de células gliales por lóbulos cerebrales contiguos por lo que es muy difícil de diagnosticar ya que, además, resulta muy complicado realizar una biopsia para su diagnóstico.
El diagnóstico de la gliomatosis cerebri es uno de los mayores retos a los que se enfrenta la comunidad médica.
Debido a que crece de manera difusa y no forma una masa central extirpable, tiene un tratamiento muy complicado y un pronóstico muy desfavorable.
Los primeros síntomas que se presentan y ayudan al diagnóstico de la gliomatosis cerebri dependen de la localización del tumor y la edad del paciente.
Algunos de los síntomas más habituales que presenta la gliomatosis cerebri son las crisis convulsivas, un cansancio notable, cambios de humor, alteración del pensamiento y la memoria, y dolores de cabeza
Es importante tener un diagnóstico diferencial correcto.
Generalmente la gliomatosis cerebri no se considera la primera causa de estos síntomas debido a que es muy desconocida y poco frecuente… es sólo a raíz de la realización de las distintas pruebas de imagen cuando los médicos pueden descubrir la existencia de la enfermedad.
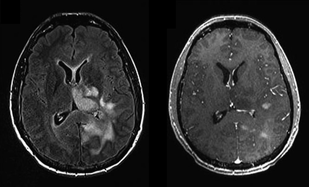
La resonancia magnética y el escáner o tomografía computerizada (TAC) son las pruebas radiológicas más importantes que se llevan a cabo para la detección de esta enfermedad.
Al realizar las pruebas de imagen se inyecta contraste para teñir las células tumorales para que se puedan distinguir fácilmente y que el radiólogo pueda distinguir entre el tejido sano y el canceroso.
Es importante saber que no existe un tratamiento estándar para la gliomatosis cerebri.
El motivo de que no haya un tratamiento estándar es que cada caso es muy diferente, hay muy pocos casos descritos y, por la naturaleza de la patología, no se puede establecer una terapia estándar.
Cada caso varía en extensión, localización del tumor, edad del niño y objetivos de los cuidados.
La cirugía no es una opción válida para la gliomatosis cerebri porque el tumor se suele encontrar muy extendido y no existe una masa tumoral definida que se pueda extirpar.
Si se confirma el diagnóstico se puede colocar un stent en la arteria presionada para reducir la presión intracraneal y favorecer el flujo sanguíneo.
Cuando la cirugía está contraindicada la opción más recomendable es la quimioterapia, un famoso grupo de medicamentos capaces de matar células e impedir que se sigan dividiendo.
Esta terapia es muy eficaz en tejidos con capacidad regenerativa muy alta, por ejemplo la piel o el hígado, pero la capacidad de regeneración del tejido neuronal es muy baja, por lo que es una práctica muy toxica y provoca un gran número de efectos secundarios.
La tercera terapia es el tratamiento mediante radioterapia.
Aunque en algunos pacientes la respuesta a la radiación es buena en muchos casos, la mayor parte, la respuesta no es satisfactoria por lo que su efectividad no está muy clara.
Esta terapia, dependiendo del tipo y la cantidad de la radiación, suele producir efectos secundarios muy variados.
Los efectos secundarios más normales de la radiación pueden ir desde fatiga cronica, dolores de cabeza o irritación del cuero cabelludo y pueden llegar a una discapacidad neurocognitiva.
Debe estar conectado para enviar un comentario.